• Skip to primary navigation
  • Skip to main content
  • Skip to footer
Hughes Ortho FB Hughes Ortho YouTube Hughes Ortho IG

Sign Up For The FREE 7 And Up Club!

(703) 360-8660

Hughes Orthodontics logo
  • Home
  • Meet The Team
    • Dr. Justin M. Hughes
    • Dr. Herbert M. Hughes
    • Dr. Herbert H. Hughes
    • The Smile Squad
    • Employment
  • The Hughes Difference
    • The Hughes Difference, A Huge Difference
    • Our Story
    • Reviews
    • The Smile Blog
  • Patients
    • New Patients
    • Financial Information
    • Tour The Office
    • Braces
    • Aligners
    • Patient Forms
    • Pay Your Bill
    • Virtual Smile Assessment
    • 7 And Up Club
    • Smile Assurance Package
  • Adult Smile Center
    • Adult Smile Center
    • Smile Options
  • Smile Gallery
  • Home
  • Meet The Team
    • Dr. Justin M. Hughes
    • Dr. Herbert M. Hughes
    • Dr. Herbert H. Hughes
    • The Smile Squad
    • Employment
  • The Hughes Difference
    • The Hughes Difference, A Huge Difference
    • Our Story
    • Reviews
    • The Smile Blog
  • Patients
    • New Patients
    • Financial Information
    • Tour The Office
    • Braces
    • Aligners
    • Patient Forms
    • Pay Your Bill
    • Virtual Smile Assessment
    • 7 And Up Club
    • Smile Assurance Package
  • Adult Smile Center
    • Adult Smile Center
    • Smile Options
  • Smile Gallery
Come See Us

Straighten Your Teeth Without Anyone Noticing

Clear aligners are a comfortable, aesthetic alternative to braces

We embrace the latest technology: Invisalign, 3M, in-office aligners, and more.  We are committed to delivering exceptional results and customizing our patient’s treatments by implementing the best tools available in order to achieve our objectives.

How It Works

Complimentary Consultation

We will discuss your options and make sure Aligners is the right tool to accomplish your goals.

 

Scan
Your Teeth

We utilize the latest technology. No more goopy impressions. No more gagging. This means your trays will fit accurately and you won't have to come back to take another impression weeks later.

Customized Treatment

Orthodontists are experts at tooth movement. Instead of approving the cookie cutter plan Aligners sends us, we interact with the software to ensure that we will deliver efficient and excellent results.

Journey
Begins

You start wearing your trays 22-23 hours per day. We will monitor your treatment at appropriate intervals (typically every 8 weeks) to ensure that you are staying on track and make any necessary adjustments along the way.

Come See Us

You Are Your Best Investment

It's true. No matter what you've believed in the past, a confident, radiant smile can be within reach. And if you think about it, improving your smile is an important investment, because you're doing it for yourself.

How much do Aligners cost?

There are many factors that determine the cost of your Aligner treatment: how extensive the issues are that you want corrected, how long your treatment plan will last, and the specific treatment details prescribed by the doctor.

While we wish we could give you a number, your smile is unique and requires individual diagnosis, treatment, and care. If you'd like, you can contact our office manager Juliana with any specific questions you have: juliana@hughesortho.com.

Why should I choose Hughes Orthodontics for my Aligner treatment?

Excellence. Value. Dr. Justin Hughes has completed the Invisalign master's program, something only 1% of all Invisalign doctors have completed. We have treated hundreds of cases with excellent results. Aligners are just a tool which can give great results in the hands of someone who knows how to use it well.

Dr. Justin also regularly gives presentations to other orthodontists, teaching them how to get excellent clinical results with 3M Clarity Aligners.

Aligners Payment Options

  • Flexible payment options to fit your budget
  • Compatible with both FSA and HSA accounts
  • Most major credit cards accepted

Insurance

If your dental plan covers orthodontic treatment, you may also qualify for Aligners. Talk to your insurance provider to determine the extent of coverage for your treatment.

To schedule a consultation to determine if Aligners is right for you, contact us today.

Come See Us

Aligners FAQ

What are Aligners?

The Aligners system is the virtually invisible way to straighten your teeth and achieve the smile you've always wanted. Aligners uses advanced 3D computer imaging technology to depict your complete treatment plan, from the initial position of your teeth to the final desired position. Then, a series of clear aligners are custom-made for your teeth — and your teeth only — to move them little by little. Each aligner is worn for about two weeks before being replaced by the next in the series until the final position of your teeth is achieved. Your Aligners treatment time will be determined by your doctor based on your specific needs.

Will Aligners fit my lifestyle?

  • Time for a snack? No problem. Take out your aligners to eat or drink whenever you want.
  • You can remove your Aligners aligners, so you can brush and floss regularly, and keep your teeth and gums healthy.
  • You can occasionally remove your Aligners aligners and enjoy a special night out.
  • There's no need to change a thing. Continue your day-to-day activities while still straightening your teeth.
  • Be yourself with Aligners aligners. Since they are clear, you don't have to hide your smile while going through treatment.
  • With Aligners treatment, it's easy to make your smile picture perfect for that special occasion.
  • Aligners appointments work with your schedule. Most visits are in and out, with a quick progress check once every six weeks.

 

What are the primary benefits of Aligners?

Aligners aligners are clear, making Aligners a seamless fit with your lifestyle and day-to-day interactions with others. Aligners aligners are also removable. Unlike braces, you have the flexibility to eat and drink what you want during treatment simply by removing the aligners when you eat. You can also remove the aligners to brush and floss as you normally would for fresh breath and good oral hygiene. Unlike traditional metal braces, Aligners treatment does not use metal brackets or wires that could cause irritation to your mouth. In addition, you'll spend less time in the doctor's chair and scheduling appointments, and more time out doing the things you love. Lastly, Aligners’s technology allows you to view your virtual results and treatment plan before you start your treatment so that you can preview how your straight teeth will look once your treatment is complete.

How many patients are in Aligners treatment?

More than 4 million patients worldwide have been treated with Aligners. The number of Aligners smiles grows daily. At your next appointment, we can help answer any questions you might have, and get you started on the smile you've always wanted.

How often do I need to come into the office?

Less than with braces! We typically only need to see you every 8 weeks, which means that Aligners treatment shouldn’t interfere with your busy lifestyle. At each visit, we make sure your teeth are moving the way they were prescribed, and make any necessary adjustments along the way.

If I had braces when I was younger, and my teeth have shifted - Can Aligners fix it?

Certainly! Many of our adult Aligners patients have had previous treatment and are looking for an esthetic tune up to their smile.

What Our Patients Say

Andrew

"If you're looking for something fun and relaxed, come to Dr. Hughes."

Andrew

Kenan

"I love it here because it's really cool! He's very gentle and it didn't hurt at all."

Kenan

Daryl

"They exemplify what 'team esteem' means. Teamwork with feelings."


Daryl

We have been Dr. Hughes patients for over 15 years. Best Dr. ever. Incredible staff members, friendly and welcoming environment . Very neat , clean and sophisticated office. The results of the braces are simply beautiful! I’ve seen other people smiles but the results are not the same. Simply the BEST: Doctors, staff, environment, equipments, and results. HIGHLY RECOMMENDED...

a2zReading Clinic
Google Review

Come See Us

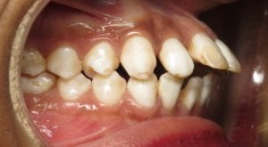
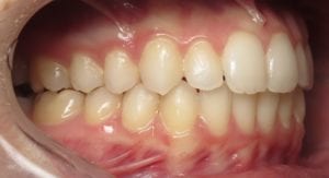
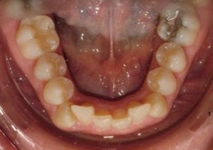
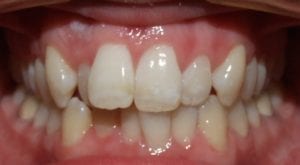
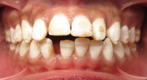
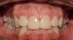
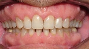
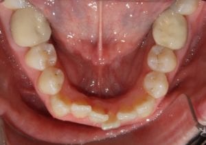
Aligners Smile Gallery

Aligners Testimonials

More than 3,000,000 people are smiling brighter thanks to the Aligners system. See how just a few of their lives have changed with Aligners.

Christa

Property Manager

I'm so glad I made the investment to go with aligners rather than metal braces. I've heard stories of people having food stuck in their metal braces, and I didn't want to go through that. It's so easy - all I have to do is remove my aligners when I eat.

Martin

Financial Analyst

I wanted my teeth straighter, but I didn't want to be in pain. My aligners are so comfortable, compared to the metal braces I had when I was a kid, that sometimes I forget I have them on.

Gina

Media Buyer

I always wanted to have straight teeth but never thought my smile would look this great. Plus, no one even knew when I was wearing them. I couldn't be happier!

Alex

Disneyland Entertainment

At first, I was skeptical about whether or not to use plastic aligners to straighten my teeth, but I am very glad I decided to make the investment. In just about nine months my teeth were straightened using the clear, comfortable, and easy-to-remove aligners. I'm a busy guy, and using Aligners fit right into my lifestyle.

Teresa

Consultant

Everybody comments on my new smile, even when I'm wearing the aligners. Plus, I can remove them at any time, so they don't affect my lifestyle.

Daniel

Chauffeur

I definitely smile a lot more. Even though I'm still in treatment, it has given me more confidence. It's given me something to look forward to. I feel good about myself. I feel good that I have taken the steps to get these braces.The reason I went with Aligners is because I'm not a kid anymore. I didn't want to look like a kid with braces on, and have the hassle of keeping them clean. There is a lot of work to keeping your teeth in good health when you have traditional braces.

Ione

Administrative Assistant

The reason I went with Aligners is because I'm not a kid anymore. I didn't want to look like a kid with braces on, and have the hassle of keeping them clean. There is a lot of work to keeping your teeth in good health when you have traditional braces.

Breanna

Waitress & Student

What I like best about Aligners is the fact that I can take them out and floss and brush my teeth and put them back in. So it's not like I'm working around all this metal in my mouth, trying to get the toothbrush and floss in there.

Gina

Analyst Relations

I would not have gone the regular braces route because I am in a customer-facing position. I'm in the hi-tech industry, with a lot of people around me that are young and hip and moving and shaking. To be in management, in a hi-tech company with a mouthful of braces in front of customers and prospects and other executive partners, it just wasn't an option.

William

Investment Broker

At my age, to have the big metal train tracks in your mouth, I just figured, in person with people, I just wouldn't feel as comfortable as I would with something that was truly invisible. I really believe in the product. I'm kind of a walking, talking billboard for it.

Vivian

Nurse

I am absolutely, positively thrilled. The fact that I was done with it in less than a year, and really had no inconveniences whatsoever, makes me wonder why I even hesitated.

Come See Us

The Outcome Simulator

Visualize how your teeth may look after Aligners treatment.
Seeing the “end result” before you decide can take the guesswork out of your decision and put you on the path to the smile you’ve always wanted.

Play Video

Comfortable

No more gooey mess with impression materials
Breathe and swallow as you normally would
No unpleasant taste or smell

Fast

View 3D scans onscreen immediately
Faster delivery of your personalized Aligners treatment plan

Accurate

Eliminates the need to retake impressions
Allows for a precise fit of Aligners clear aligners and retainers

Come See Us

Member of the American Association of Orthodontists
American Board of Orthodontics Logo
Hughes Orthodontaics : Aligners Preferred Provider
3m
2021 Top Orthodontist
smilechanges

Get Dr. Hughes' FREE Guide,
6 Things You Need To Know Before Straightening Your Teeth

Download Your Guide

Get Your Guide

(703) 360-8660

info@hughesortho.com

7906 Andrus Road, Suite 18
Alexandria, Virginia 22306

Hughes Ortho FB Hughes Ortho YouTube Hughes Ortho IG

Meet The Team

Dr. Justin M. Hughes
Dr. Herbert H. Hughes
Dr. Herbert M. Hughes
The Smile Squad

The Hughes Difference

The Hughes Difference, A Huge Difference
Our Story
Reviews
The Smile Blog

New Patients

New Patients
Tour The Office
Financial Information
Braces
Aligners

Adult Smile Center

Adult Smile Center
Clear Options

Smile Gallery

Smile Gallery

© Copyright 2021 Hughes Orthodontics. All rights reserved. Website by Sara Chandlee.